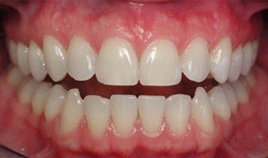
نکاتی جهت جلوگیری از بروز بیماری های لثه
لازم است به طور منظم برای جلوگیری از بروز بیماریهای لثه نکات زیر را رعایت نمایید:
آگاهی از چگونگی شروع بیماری لثه، مسواک زدن دندانها حداقل ۲ بار در روز، استفاده روزانه از نخ دندان و مراجعه به دندانپزشک حداقل ۲ بار در سال جهت جرم گیری دندانها.
* برنامه غذایی مناسب و متعادل داشته باشید. داشتن برنامه غذایی مناسب و متعادل برای سلامتی اندامهای بدن و به ویژه دندانها لازم است. چنانچه برنامه غذایی صحیح از سوی شما یا اعضای خانواده تان رعایت نشود ممکن است به بیماریهای دندان و لثه مبتلا شوید.
سعی کنید در برنامه غذایی خود از چهار گروه اصلی (گوشت و جانشینهای آن و دیگر غلات) استفاده نمایید. ترکیبات کلسیم، فسفر و نیز ویتامین C برای تقویت و استحکام لثه و دندانها موثر هستند. خوردن برخی غذاها مانند پنیر می تواند دنداهای شما را در مقابل میکروبهای پوسیدگی حفظ نماید.
* از خمیر دندانهای حاوی فلوراید استفاده کنید. در صورت امکان هر ۲ تا ۳ ماه یک بار نوع خمیر دندان خود را عوض نمایید تا میکروبهای دهان شما نسبت به ماده میکروب کش موجود در خمیر دندان مقاوم نشوند. خمیر دندانی را باید انتخاب نمود که لثه و مخاط دهان نسبت به آن حساسیت نشان ندهند.
* از مصرف دخانیات خودداری نمایید. از سیگار کشیدن، پیپ، قلیان و انواع دخانیات پرهیز کنید. استفاده از دخانیات به ویژه سیگار به سلامتی دندانها آسیب می رساند. سیگار کشیدن اثرات زیان آوری بر روی سلامت لثه و دندانهای شما می گذارد. هنگامی که دود سیگار به غشای ظریف دهان و لثه برسد ذرات بسیار ریز آن موجب بروز تورم و التهاب می شود. این التهاب هر چه بیشتر طول بکشد زیان آن بیشتر می شود. رفته رفته لبه های لثه متورم می شود و حجم این تورم آن قدر زیاد می شود که اکسیژن مورد نیاز به آن نمی رسد در نتیجه شروع به از بین رفتن می کند.



