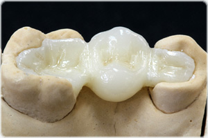
روکش های زیرکونیا
ماده سرامیکی برای ترمیم دندان بدون استفاده از فلز
زیرکونیم یکی از قدیمی ترین و فراوان ترین عناصر در کره خاکی است و اساس زیرکونیوم اکسید است. (ایتریم باعٍث ایجاد و تثبیت زیرکونیوم دی اکسید می شود). این ماده درجه یک در پیوند اعضای مصنوعی در رشته های پزشکی در دهه های گذشته با موفقیت استفاده شده است و اکنون نیز مورد استفاده قرا می گیرد. این ماده که تولید آن بسیار سخت می باشد، در صنعت دندانسازی نیز به کار می رود. به دلیل ویژگی های بیولوژیکی عالی آن، این روزها زیرکونیوم ماده مناسبی برای ترمیم دندان ها است.
آزمایش های متنوع نشان داده که استفاده از زیرکونیوم هیچ گونه واکنش های حساسیت زایی در حفره دهانی ایجاد نمی کند. در صورت ساخت صحیح، استحکام آنها حتی بیشتر از ۵۰ سال است. تقریبا همه انواع ترمیم دندانسازی با زیرکونیوم امکان پذیر است و ساخت بریج در همه اندازه ها به صورت چسباندن یا پیچ کردن میسر می باشد. در عین حال کاشت روکش ساخته شده با زیرکونیم استحکام و زیبایی به کار می دهد..
– کاملا شفاف
– بدون حاشیه سیاه
– فوق العاده سخت
– کاملا عاری از فلز
– با سازگاری عالی با بدن
شفافیت زیرکونیا زیبائی و جلوه طبیعی ترمیم دندان را تضمین می کند. این ویژگی ها با رنگ کردن اسکلت یا فریم زیرکونیا با ۱۶ رنگ بر اساس نمونه رنگ قدیم ویتا (Vita Classic) افزایش می یابد. این موضوع طول عمر دندان را تضمین می کند. قابل ذکر است بر خلاف روش ترمیم با فلز که حاشیه سیاهی ایجاد می شد، در مورد زیرکونیم در حالت فرو رفتگی لثه ها به دلیل سن، حاشیه سیاهی به وجود نمی آید.
بعلاوه این ماده ی کاملا ضد اسید از جذب آلودگی جلوگیری کرده، تمیز کردن دندان ها را آسان تر می سازد.






