جراحی لثه با لیزر
دندان ها توسط لثه و استخوان زیر آن حمایت می شود، چنانچه این بافت سالم باشد، دندان های محکم داریم ولی با تخریب بافت لثه است که دندان بدون هیچ پوسیدگی از جای خود خارج می گردد.
بیماری لثه پس از پوسیدگی دندانها دومین بیماری عفونی بسیار شایع در انسان است. علت ایجاد این بیماری ها هم باز باکتری ها هستند، به همین دلیل چنانچه با تمیز کردن دهان مانع از باقی ماندن ذرات غذائی کنار دندان ها شویم (مثل استفاده از مسواک یا نخ دندان) می توانیم از بروز بیماری لثه جلوگیری کنیم.از آنجا که دندان ها توسط لثه و استخوان زیر آن حمایت می شود، چنانچه این بافت سالم باشد، دندان های محکم داریم ولی با تخریب بافت لثه است که دندان ها لق می شوند و دندان بیمار بدون هیچ پوسیدگی از جای خود خارج می گردد.ذرات غذایی و باکتری ها و کلسیم موجود به بزاق می توانند روی هم دیگر جمع شوند و مجموعه ای را بسازند که اصطلاحا جرم نامیده می شود و به عمل پاکسازی آن از کنار لثه ها جرم گیری اطلاق می گردد(). چنانچه جرم گیری به موقع انجام نشود آسیب های غیر قابل برگشتی را به دندان ها وارد می کند و برخلاف تصور عوام مبنی بر تراشیدن دندان ها یا جرم گیری و غیره اصلا هنگام جرم گیری دندان تراشیده نمی شود و یا نازک نمی شود بلکه فقط جرم چسبیده به دندان جدا می شود و پاک می شود.در درمان لثه چنانچه بیماری پیشرفته باشد، غیر از جرم گیری و حذف جرم بایستی لثه و بافت تخریب شده هم دور ریخته شود و بیمار به مدت طولانی آنتی بیوتیک استفاده کند، که به این کار جراحی لثه می گویند، گرچه در این عمل بیماری لثه درمان می شود ولی گاها به دلیل نیاز به حذف مقداری از لثه دندان ها بلندتر به نظر می رسند و ظاهر خوش آیندی ندارند.
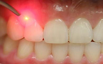
استفاده از لیزر در بیماری های لثه
با لیزر همزمان می توان با حذف بافت عفونی کنار دندان که محل اتصال لثه و دندان را تمیز و استریل نمود، طوری که هیچ آنتی بیوتیکی نمی تواند حتی در مصرف طولانی مدت چنین اثر ضد باکتری را اعمال نماید.در بسیاری از موارد با لیزردر درمان لثه نیاز به جراحی باز لثه نیست زیرا لیزر ابزاری دارد که بدون باز کردن لثه میتوان درون لثه را استریل کرد و لثه خراب شده را ، بدون اینکه از ارتفاع لثه بکاهد، خارج کند. اثر ضد باکتری و استریل کردن لیزر تا مقدار زیادی درون لثه و بافت نگه دارنده دندان و خود دندان نفوذ کرده و هیچ باکتری برجا نمی ماند چنانچه این عمل چندین بار برای بیمار انجام شود به موازات آن بهداشت بهتری رعایت شود، بیماری لثه به طور کلی از بین خواهد رفت. به دلیل استریل شدن لثه و فقدان یا کمبود باکتری امکان عود بیماری بسیار کم است.


