عادتهایی که دندانها را خراب میکنند
۱– دندان قروچه
ساییدن دندان ها به هم یا دندان قروچه در اثر فشار عصبی و مشکل بد خوابیدن ایجاد می شود. کنترل دندان قروچه بسیار سخت است.
خودداری از جویدن غذاهای سفت در طول روز، درد دندان و آسیب ناشی از دندان قروچه را کم می کند.
در شب از محافظ دهان (مخصوص دندان قروچه) استفاده کنید تا در حین خوابیدن از آسیب دندان در اثر دندان قروچه جلوگیری کنید
۲- جویدن یخ
یخ ماده ای بدون قند است و ممکن است فکر کنید برای دندان ضرری ندارد. اما جویدن یخ می تواند باعث شکستن و یا از بین رفتن قسمتی از مینای دندان گردد.
اگر یخ را سفت بجوید، باعث تحریک بافت نرم داخل دندان و بروز حساسیت و درد دندان می شود.خوردن غذاهای داغ و یا غذاهای سرد ممکن است درد دندان را شدت بخشند.
بهتر است به جای جویدن یخ، آدامس بدون قند بجوید
۳- جویدن مداد
آیا موقع تمرکز روی یک مسئله، مداد خود را می جوید؟
اثر جویدن مداد همانند جویدن یخ می باشد و باعث شکستن و یا خرد شدن دندان ها می شود.
هنگامی که می خواهید چیزی را بجوید، آدامس های بدون قند را انتخاب کنید.
آدامس های بدون قند باعث ترشح زیاد بزاق می شوند و از بوی بد دهان و پوسیدگی دندان ها جلوگیری می کنند
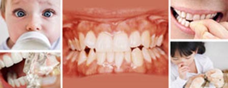
۴- مکیدن انگشت
۵- مکیدن لیمو ترش
۶- جویدن ناخن
۷- با شیشه شیر خوابیدن
۸- سوراخ کردن (پیرسینگ) زبان
۹- سخت مسواک زدن
۱۰- باز کردن چیزی با دندان
۱۱- آب نبات سفت
۱۲- نوشابه گازدار
۱۳- نوشیدن مشروبات الکلی



